
症例紹介 左下に永久歯が先天的にない部分へのインプラント治療を希望されて来院された患者様 左下に永久歯が生まれつき1本少なく乳歯が残っていたところが抜歯となり、インプラント治療を希望されて遠方から当院に紹介来院されました。永久歯の先天欠如は珍しいことではなく、特に第二小臼歯(前から5番目の歯)に多くみられます。前後の歯も含めて虫歯もなく、このような状態を回 …

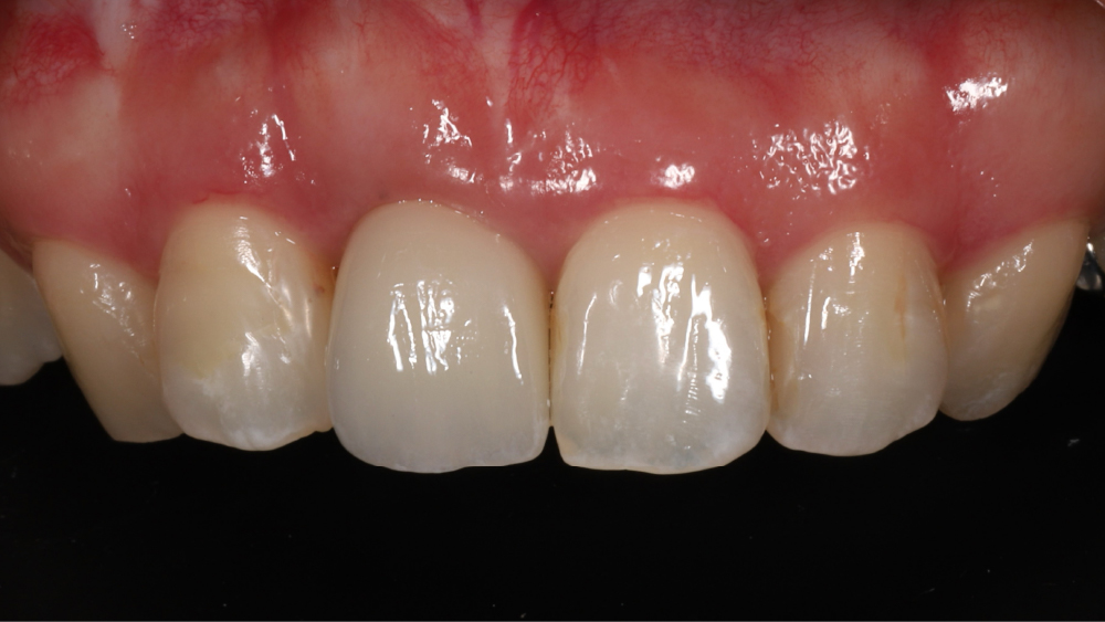
症例紹介 抜歯の3ヶ月後にインプラント治療を実施 30代の女性が、右上前歯を失い見た目の改善を希望されて来院されました。診察の結果、歯を失った部分には仮歯が両隣の歯に接着剤で固定されている状態でした。 骨移植が必要であることが判明 患者様は、ご自身の歯を削らない治療を希望され、インプラント治療を選択されました。 しかし、仮歯を外した際に歯ぐきが凹んでいること …