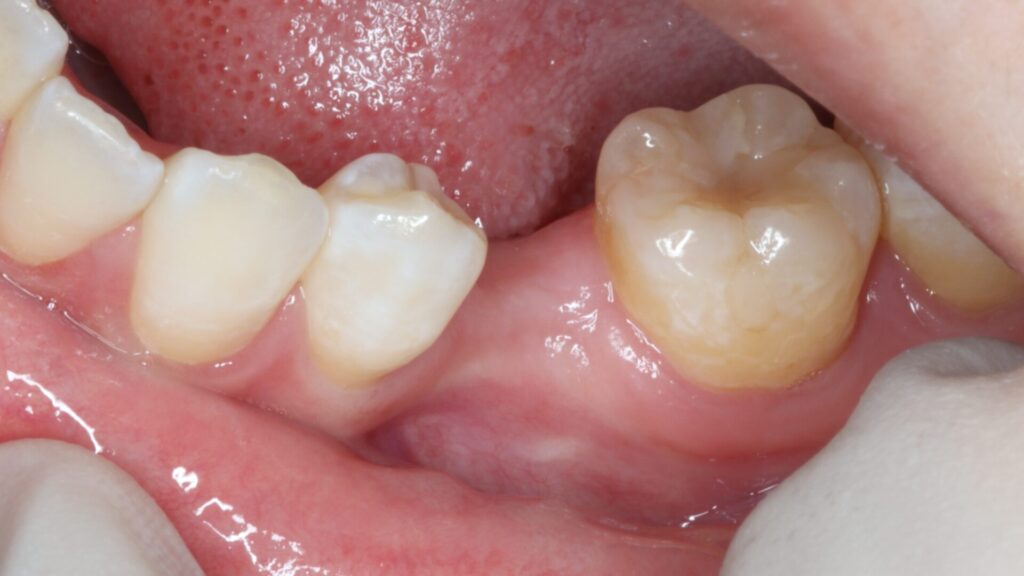
症例紹介
左下に永久歯が先天的にない部分へのインプラント治療を希望されて来院された患者様

左下に永久歯が生まれつき1本少なく乳歯が残っていたところが抜歯となり、インプラント治療を希望されて遠方から当院に紹介来院されました。
永久歯の先天欠如は珍しいことではなく、特に第二小臼歯(前から5番目の歯)に多くみられます。前後の歯も含めて虫歯もなく、このような状態を回復させるのにはインプラントが最適です。
CTスキャンによるシュミレーション
永久歯がもともとないところは骨のボリュームが足りないことがほとんどです。
今回もCTスキャンで調べるとインプラントの外側に骨が足りないことが分かりました。足りない量がそれほど多くなかったためにインプラント埋め込みと同時に骨補填材を移植して骨造成をすることになりました。



骨造成での対応

今回はインプラント埋め込みと同時に骨補填材量をメインに移植することで骨造成を行いました。外側に骨を増やす骨造成という治療法は術後1週間ほど腫れますが、痛みは最小限で済みました。
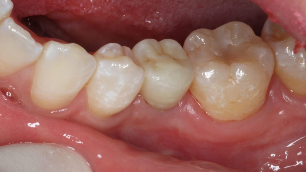
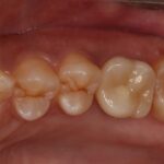
3か月後に仮歯を装着し、問題ないのを確認したうえでセラミック冠を装着し治療を終えました。
乳歯が長く残っていた影響で歯並びやかみ合わせに少し問題が生じていましたのでかみ合わせの調整などを事前に行っています。
治療後

術後4ヵ月で最終的なセラミック冠を装着しています。
機能的にも見た目も満足いただける仕上がりになりました。
永久歯が先天欠如している部分、乳歯が長持ちしてくれればいいのですが一生乳歯が持ってくれることは少なくどこかのタイミングで歯を失うことになるのがほとんどです。
ブリッジで両隣を削るのは本当にもったいないですし、回復方法を悩みながら長期間経過すると歯並びが変わってかみ合わせに問題が出てきます。
最終的にインプラントをするかどうか、インプラントをするにしろどの医院でするかは患者様ご自身の判断で決めていただければいいのですがしっかりとした診査・診断までは早めにされておくことをお勧めします。
治療詳細
| 年代・性別 | 0代 女性 |
| 主訴 | 左下に奥歯がない場所がある インプラントを検討している |
| 治療内容 | 左下奥歯にインプラント埋め込みと同時に骨造成を行った |
| 治療費用 | 528000円 |
| 治療期間 | 期間4ヵ月 |
| リスク・副作用 | 骨造成は術後1週間ほど腫れることがほとんどです。また個人差はありますが頬に一時的ではありますが内出血による青あざが出来ることもあります。 どちらも時間と共に消失しますので心配いりません。 インプラントが歯周病にならないように、治療後は日々のセルフケアと定期的なメンテナンスが重要です。 |
監修者情報

院長 増田 英人
- 私立高槻中学・高校卒(1994年)
- 国立広島大学歯学部卒(2001年)
- 神戸市 まつだ歯科勤務
- まつだ歯科副院長
- 豊中市 まとば歯科副院長
- 豊中市 ますだ歯科医院開設(2008年)
- 医療法人ライフスマイル開設(2014年)
- ニューヨーク大学インプラント科短期留学プログラム卒業(2016年)



